マウスピース型矯正装置「インビザライン」とは
透明なマウスピースで、目立たない矯正治療

「インビザライン」は、厚さ0.5mmほどの薄くて透明なマウスピースで歯を動かしていく、矯正装置です。 一般的なワイヤー矯正と違って痛みが少なく、見た目が自然で目立ちません。 通院も少ない回数で済むため、どなたでも安心して矯正治療を受けていただけます。
マウスピース型矯正装置の特徴
1. 見た目がほとんど気にならない
透明で薄いマウスピースを装着するため、周囲の目を気にせずに治療を行うことが可能です。
話すときもほとんど違和感がありません。
2. 取り外しが可能
マウスピースは自由に着脱でき、お食事や歯磨きのときは取り外せます。
歯や装置のお手入れが簡単で、むし歯などのリスクも減らせます。
3. 痛みや違和感が少ない
1回の型取りで最終的な歯並びまで導けるように、複数のマウスピースを製作します。
マウスピースを交換していくことで歯を動かし、少しずつ移動させていくため、矯正治療の痛みが少なくて済みます。
4. トラブルが少ない
ワイヤー矯正のような金具などを使用しないため、装置の破損やお口の中を傷つけるトラブルが少ない治療法です。
5. 金属アレルギーの心配がない
マウスピースは金属を使用しないため、金属アレルギーを起こす心配がありません。金属アレルギーをお持ちの方も治療が可能です。
また、装置を接着剤などで歯に固定する必要がなく、セラミック人工歯を入れている方も、そのまま治療が行えます。
マウスピース型矯正装置の注意点
1. 長時間、取り外さない
インビザラインでの治療は、1日に20時間以上、マウスピースを装着する必要があります。
長時間外していると予定通りに歯が動かず、矯正治療がスムーズに進まなくなります。
外す時間は、お食事やお手入れなど最低限に留めるようにしてください。
2. ほかの矯正法を組み合わせる場合がある
当院では、インビザラインで幅広い症例に対応しておりますが、患者さんの歯並びによっては、ワイヤー矯正と組み合わせた治療法をご提案する場合もあります。
ワイヤー矯正でも、歯の裏側に装置を取り付ける治療法なら目立ちません。
見えない矯正「裏側矯正(舌側矯正)」
当院の矯正治療の特徴
経験豊富な矯正担当医が常駐

歯列矯正は、一般的な歯科治療とは別に、専門的な知識と技術を要する治療です。 マウスピース型矯正もワイヤー矯正と同じように、マウスピースの特徴を生かした治療を行えるかどうかは、歯科医師の知識や経験に大きく左右されます。 当院では、さまざまな症例を担当してきた「矯正担当医」が常駐しているため、患者さんのスケジュールに合わせて治療を行うことができ、急なトラブルでもすぐに対応が可能です。 また、一般歯科診療も行っているので、歯並び以外の治療もすぐに対応でき、連携しながらスムーズに治療を進められます。
先進の機器を使った精密な検査

歯・顎・神経・血管を立体的に映し出す「歯科用CT」、頭部や顔面のバランスの変化を観察する「セファロ」、お口の中を立体的にスキャンする3Dスキャナー「iTero」など、矯正治療に必要な精密検査ができる機器を完備しています。 これらの機器を使って精密な検査をすることで、安心・安全で精度の高い治療が可能となっています。
シミュレーションで、治療後の歯並びを確認

矯正治療を始める前に、どのように歯が移動し、最終的な歯並びがどうなるかをシミュレーション映像で確認していただけます。 お口の中を立体的にスキャン・型取りできる「iTero」を導入し、1度のスキャンで開始から終了までに使用する複数の精巧なマウスピースを、すべて製作することができます。
丁寧なカウンセリング

矯正は治療期間が長く、費用もかかり、お顔や全身への影響も大きい治療です。 そのため当院では、治療開始前に患者さんとのカウンセリングでご要望などをしっかりと伺い、綿密な治療計画を立てた上で治療をスタートします。 検査結果を丁寧に説明して、患者さんとのコミュニケーションを大切にしながら治療を進めていきます。
スピード矯正

当院では光加速装置を導入しております。この装置は近赤外線光を当て組織の修復を早める働きがあり、マウスピース矯正は本来1週間ごとにマウスピースを交換して頂きますが光加速装置を使用すると5日で交換できるため治療が早く進みます。痛みを軽減する作用もある為、より快適に治療を進めることができます。
セミナーDABSについて

歯科医師に向けた矯正治療を学ぶセミナーです。一般歯科でなかなか学ぶことができない専門的な矯正治療を座学・実習を通して基礎から応用まで学ぶことができ、包括的歯科臨床を行えるようになります。成人矯正から小児矯正まで幅広い分野をマスターできます。
治療の流れ
1カウンセリング
お電話でご予約いただき、まずはじめにカウンセリングを行います。
実際にマウスピースをご覧いただきながら、治療方法などをご説明いたします。
ご要望やお悩み、疑問などがある場合は、遠慮なくお伝えください。
2精密検査
現在のお口の状態を調べるために、精密検査を行います。
CTやレントゲン撮影、歯型取り、お顔とお口の写真撮影、むし歯や歯周検査を行います。
むし歯や歯周病があった場合は、矯正をする前に治療をします。
3治療計画のご説明
精密検査の結果をもとに治療計画を立て、具体的な治療方法や期間についてご提案します。
患者さんにしっかりとご理解、ご納得いただいた上で、治療に進みます。
4治療開始
初回のマウスピースをお渡しして、使い方を練習します。
その後は3~4週間に1回程度の通院で、マウスピースを交換しながら歯を動かしていきます。
お忙しいに方は、1度に複数回分のマウスピースをお渡しすることも可能です。
インビザラインの治療期間は、平均で1~2年ほどです。
5治療終了、保定期間
歯並びが整ったら、元に戻らないためのリテーナーを装着します。
治療完了から約1年、就寝時のみ装着します。
3カ月~半年に1度通院していただき、歯列チェックやクリーニングなどを行います。
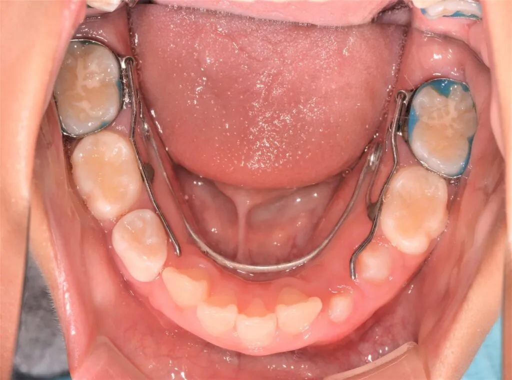
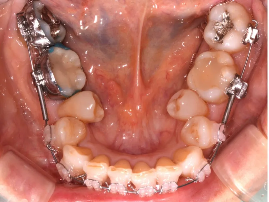
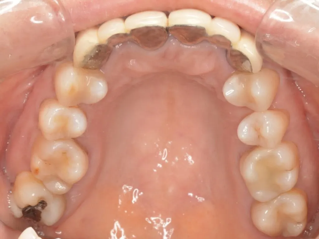
裏側矯正(舌側矯正)
裏側矯正(舌側矯正)とは
裏側矯正(舌側矯正)とは、歯の裏側に金属製の装置とワイヤーを装着して行う矯正治療です。「舌側矯正」や「リンガルブラケット矯正」とも呼ばれます。
口を開けても装置が見えにくいため、見た目を気にすることなく矯正治療ができます。
表側矯正よりも、矯正担当医の高い治療技術が求められる治療です。
裏側矯正(舌側矯正)の特徴
1. 装置が見えにくい
歯の裏側に装置を着けるため、人から気づかれることはほとんどありません。
矯正を気づかれたくない方や、人と接する事が多い方などにおすすめです。
2. 食事のストレスが少ない
表側に矯正装置があると食べ物が詰まりやすく、気になりますが、裏側矯正(舌側矯正)ではそのような煩わしさが少なく、快適に食事ができます。
3. 治療の効果を早い段階で実感できる
装置を装着中でも、きれいに変化してきた歯並びを実感することができます。治療開始から半年ほどで前歯が揃ってきます。
4. 歯の表側を傷つけない
装置を外す際、歯の表面のエナメル質にひびが入ることがまれにありますが、歯の裏側は表側にくらべてエナメル質が厚いため安心です。
裏側矯正(舌側矯正)の注意点
1. 違和感、しゃべりづらさがある
裏側矯正(舌側矯正)の場合、装置が舌にあたるので、強い違和感を覚えたり、さ行・た行・ら行など舌を歯の裏側に当てて発音する言葉が不明瞭になったりする場合があります。
装置に慣れてくると舌の位置も矯正されるため、多くの方は違和感について徐々に落ち着いてきます。
2. 表側矯正より費用が高い
歯の裏側は表側に比べて凹凸があり、歯の状態を見ながらの調整も難しいため、患者さんの歯型にピッタリ合う矯正装置をつくる必要があります。
そのため、精密な装置の製作や高い治療技術が求められ、費用が表側の矯正治療よりも高くなります。
当院のさまざまな矯正治療
短期間での矯正
通常は数年かかる矯正治療を、最短6カ月といった短期間で行う治療方法です。
特殊なワイヤーを使う方法、インプラントを有効活用する方法など、いくつか方法があり、患者さん一人ひとりの状態に合わせて、可能な方法をご案内いたします。
床矯正(お子さん)
お子さん向けの矯正治療です。
お子さんの歯並びが悪くなる原因のほとんどが、歯が生え揃うスペースが狭いことです。
床矯正では、金属のワイヤーでつくられた専用の装置を一定時間歯に装着し、顎を広げることで、歯を正しい場所に移動させることができます。
歯を抜かずにできることが最大の特徴です。
床矯正の注意点
- 発音がしにくくなる場合がある
- 違和感や異物感を感じるお子さんもいる
症例
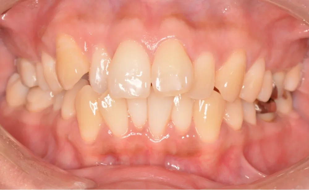
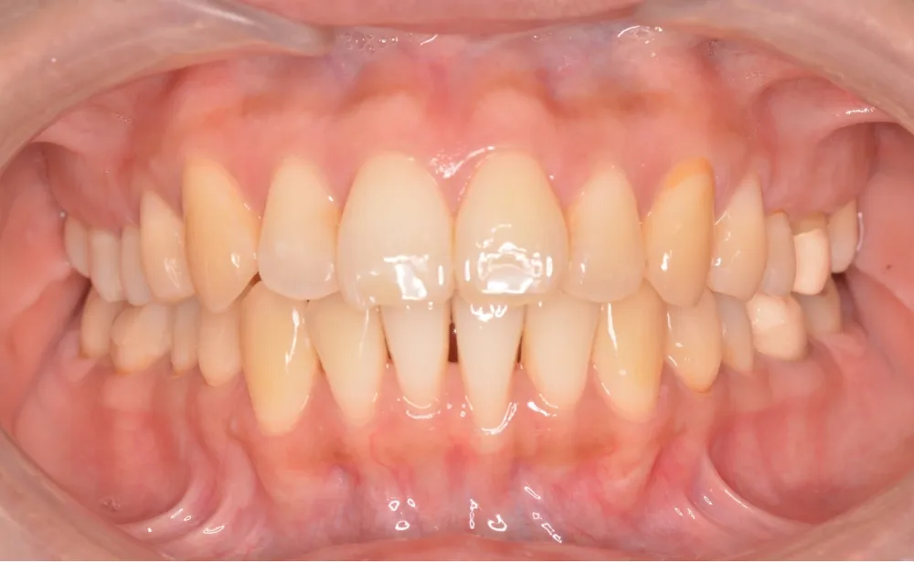
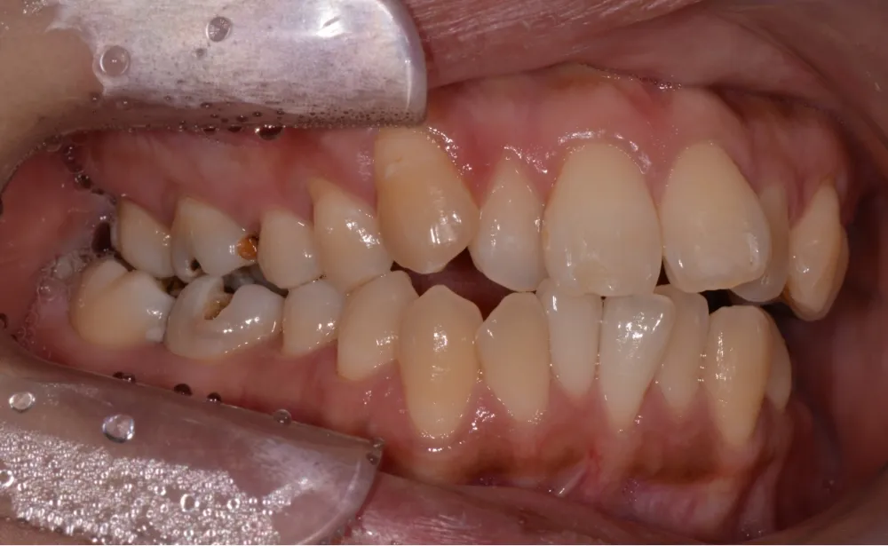
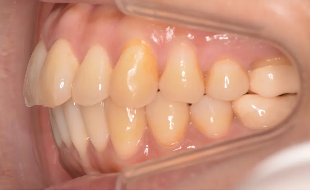
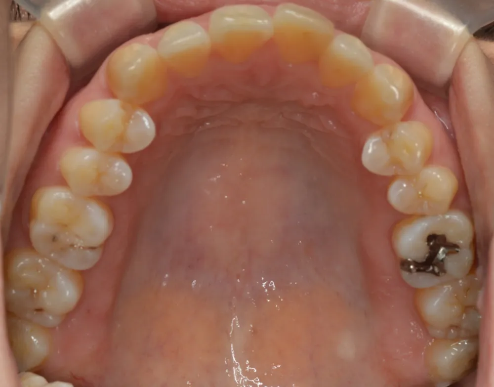
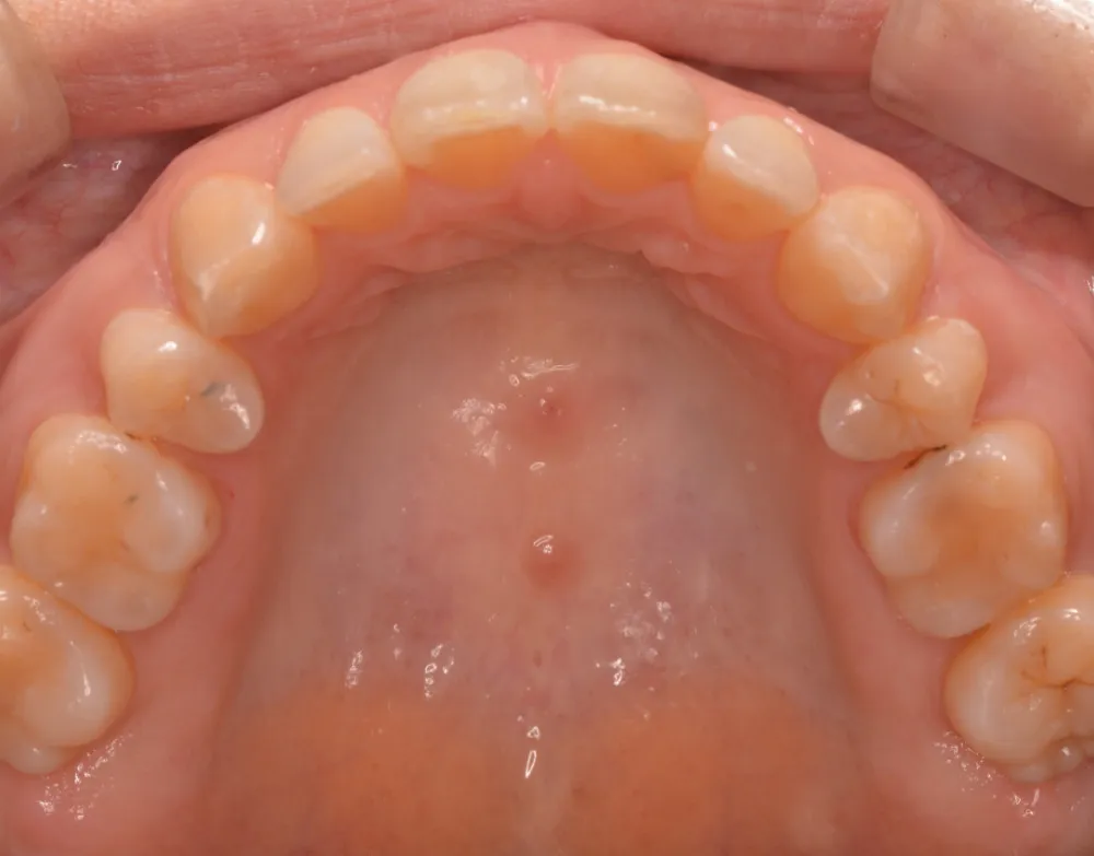
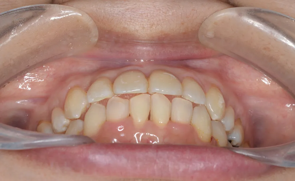
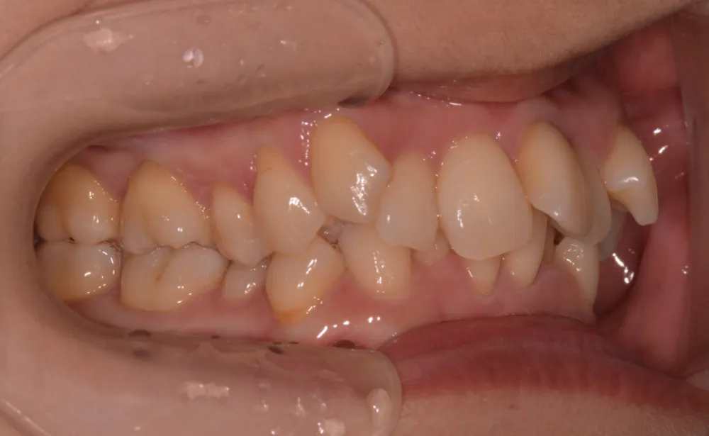
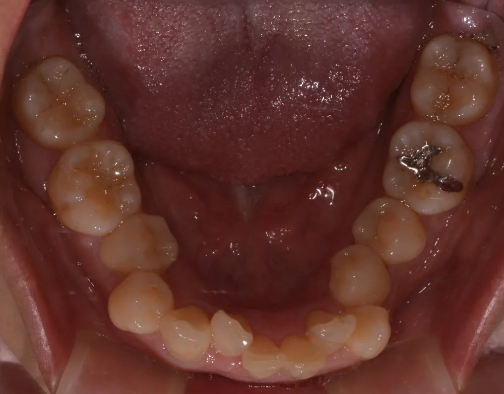
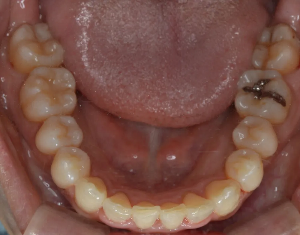
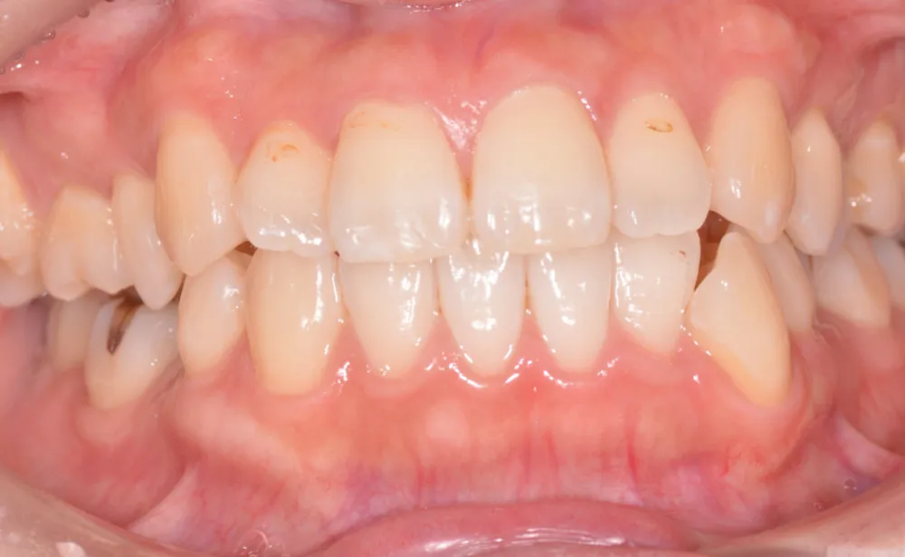
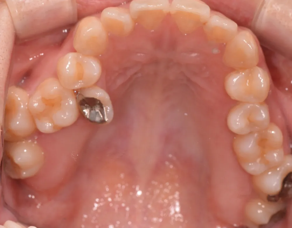
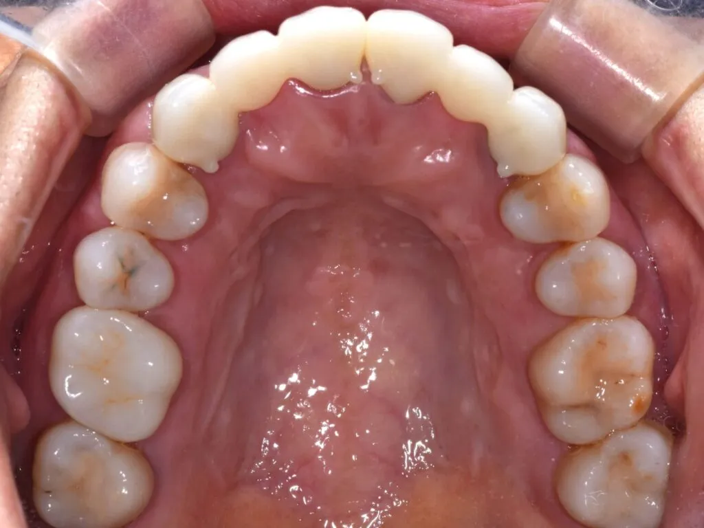
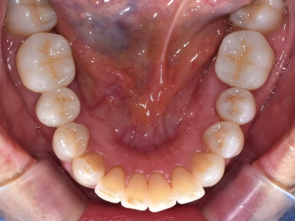
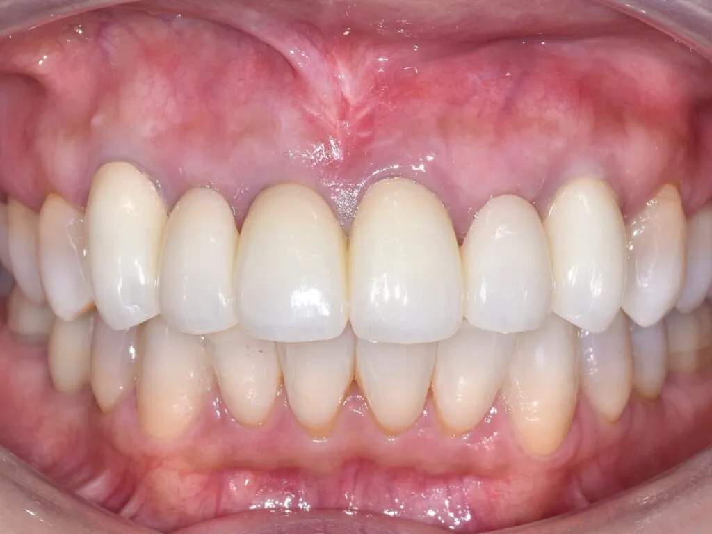
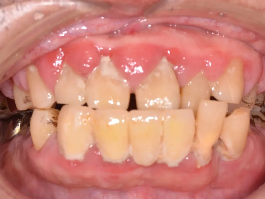
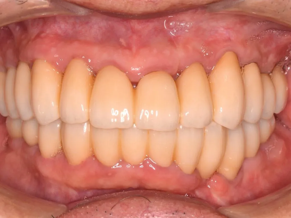
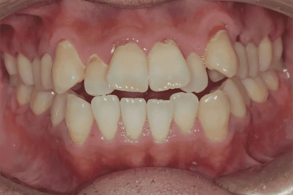
症例1 (マウスピース矯正)
Before

After









| 年代 | 30代 |
|---|---|
| 性別 | 女性 |
| 治療期間 | 1y5m |
| お悩み | ガタガタが気になる |
| 矯正法 | マウスピース矯正 |
| 治療のリスクについて | 1日20時間以上の装着が必要のため、時間管理が必要です。 歯が動いていくことによる、痛みがあります。また、歯肉が退縮するリスクもあります。 週に一度、新しいマウスピースに交換していきました。替えてから1〜2日は痛みがあったそうですが、段々と慣れていったそうです。20時間以上の装着が必要なため間食が減ったそうで、ダイエットにもなったそうです。 |
| 費用 | 精密検査………………………39,600円 インビザライン………………880,000円 2〜3ヶ月に1度の調整料………5,720円 後戻り防止のリテーナー ……33,000円 |
※すべて税込
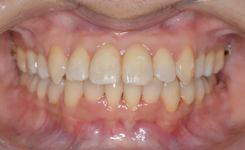
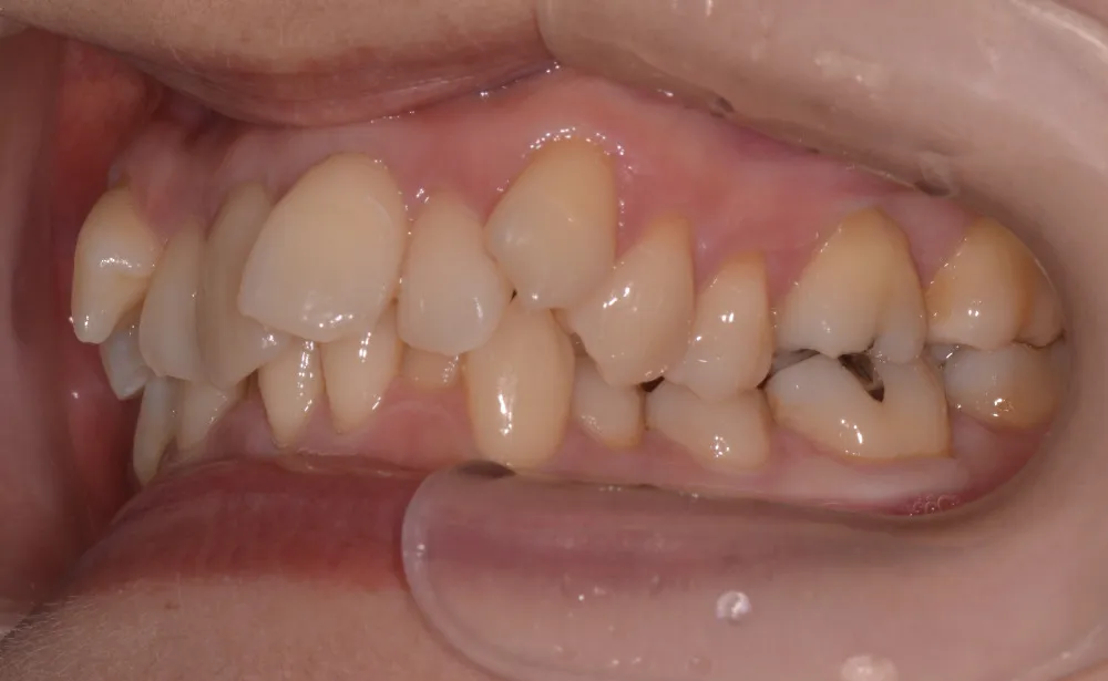
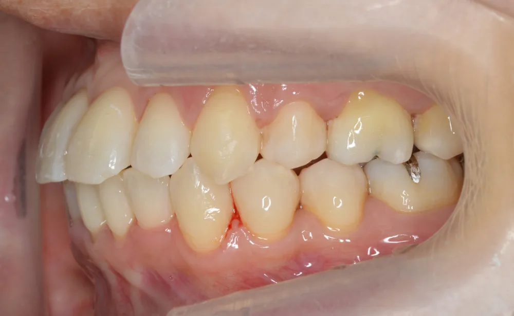
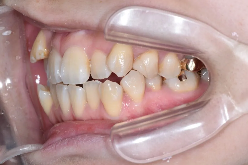
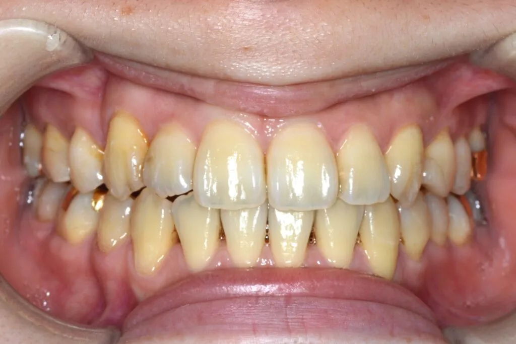
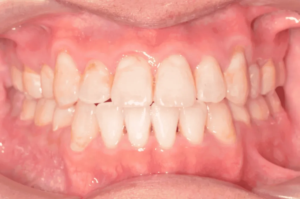
症例2 N様(上下2本ずつ抜歯によるワイヤー矯正)
Before

After













| 年代 | 30代 |
|---|---|
| 性別 | 女性 |
| 治療期間 | 2y1m |
| お悩み | 口元の出っぱりが気になる |
| 矯正法 | 上下2本ずつ抜歯によるワイヤー矯正 |
| 治療のリスクについて | 歯を動かす事による痛みがあります。また、装置に慣れるまでは、口内炎ができやすいです。 |
| 費用 | 精密検査………………………39,600円 ホワイトワイヤー矯正………990,000円 月に1度の調整料………………5,720円 |
※すべて税込
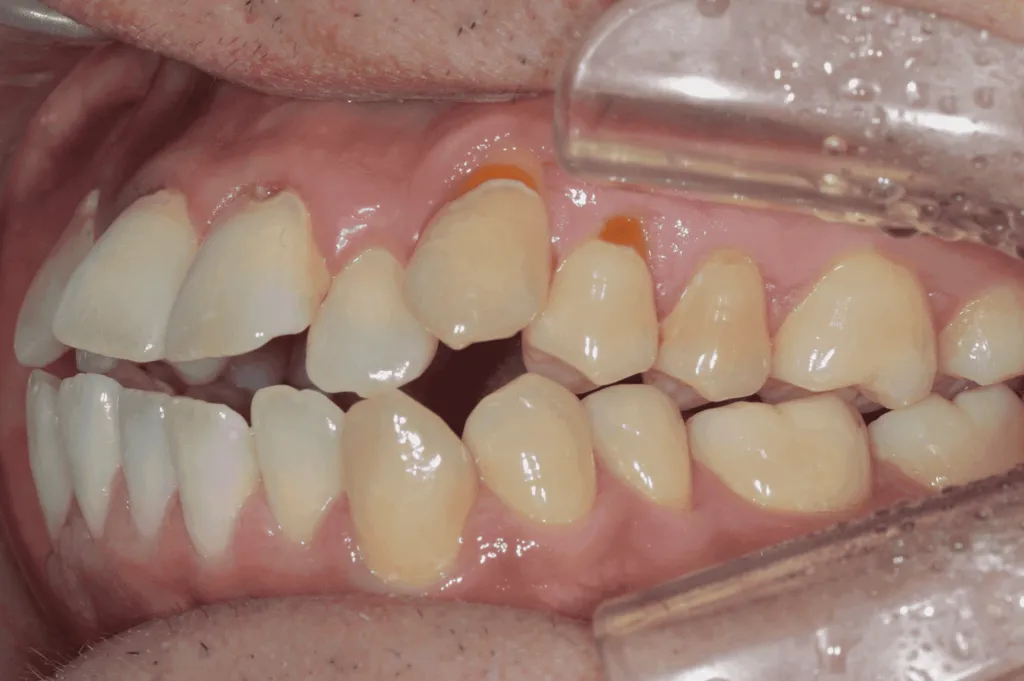
症例3 O様(上の歯2本を抜歯しての矯正)
Before

After











| 年代 | 30代 |
|---|---|
| 性別 | 女性 |
| 治療期間 | 2y9m |
| お悩み | 上下のガタガタと噛み合わせが気になる |
| 矯正法 | 上の歯2本を抜歯しての矯正 |
| 治療のリスクについて | 歯を動かす事による痛みがあります。また、装置に慣れるまでは、口内炎ができやすいです。 |
| 費用 | 精密検査………………………39,600円 メタルワイヤー矯正………880,000円 |
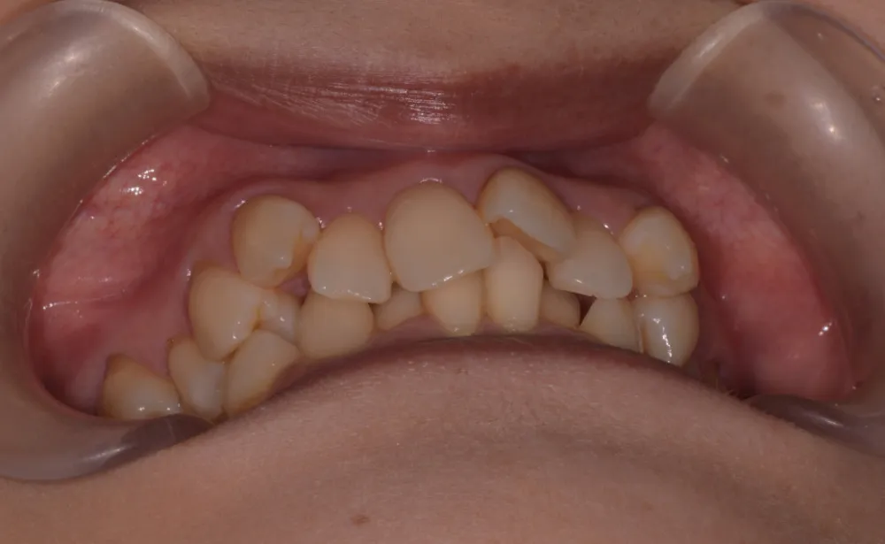
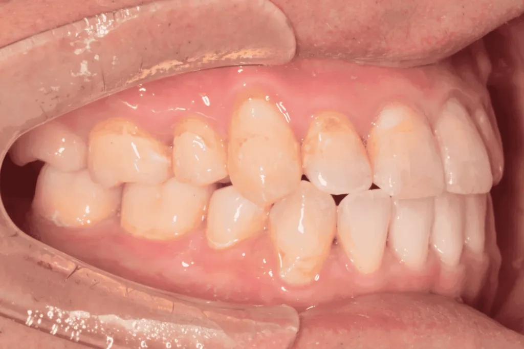
症例4 H様
(上の歯2本、下の歯2本、親知らず3本を抜歯してのワイヤー矯正)
Before

After





| 年代 | 30代 |
|---|---|
| 性別 | 女性 |
| 治療期間 | 3y6m |
| お悩み | 右上の、内側に生えている歯が邪魔。隣の歯も含めて、上 |
| 矯正法 | 上の歯2本、下の歯2本、親知らず3本を抜歯してのワイヤー矯正 |
| 治療のリスクについて | 歯を動かす事による痛みがあります。また、装置に慣れるまでは、口内炎ができやすいです。 |
| 費用 | 精密検査………………………39,600円 メタルワイヤー矯正………880,000円 |
症例5 プレオルソ(夜間のみ装着)
Before

After







| 年代 | |
|---|---|
| 性別 | |
| 治療期間 | 9m(継続中) |
| お悩み |
|
| 矯正法 | プレオルソ(夜間のみ装着) |
| 治療のリスクについて | 途中でやめてしまうと、後戻りの可能性があります。 |
| 費用 | 330,000円 |
症例6 小児矯正(クワドヘリックス、バイヘリックス)
Before

After

Before

After

Before

After

| 年代 | 小学生 |
|---|---|
| 性別 | |
| 治療期間 | 約1y |
| お悩み |
|
| 矯正法 | 子供の成長期と、コイルの弾力を利用することで、歯列を押し広げます。 |
| 治療のリスクについて | 取り外しはできません。 |
| 費用 | 小児矯正(クワドヘリックス、バイヘリックス)……………330,000円(税込) |
症例7 W様(ワイヤー矯正、ジルコニアクラウン)






| 年代 | 50代 |
|---|---|
| 性別 | 女性 |
| 治療期間 | 3y9m |
| お悩み | 歯並びを治したい |
| 矯正法 | ワイヤー矯正 |
| 費用 | 【矯正費用】 精密検査…………………………39,600円(税込) ワイヤー矯正……………………880,000円(税込) 月に一度の調整料…………………5,720円(税込) 後戻り防止のリテーナー…………33,000円(税込) 【ほてつ費用】 ジルコニアクラウン(上の前歯6本)………… 121,000円×6本=726,000円(税込) ※顕微鏡(マイクロ)を使った根管治療代は含まず |
症例8 H様(ワイヤー矯正、ジルコニアクラウン、インプラント)



| 年代 | 60代 |
|---|---|
| 性別 | 男性 |
| 治療期間 | 1y3m |
| お悩み | 全体的な治療希望 |
| 矯正法 | ワイヤー矯正 |
| 費用 | 【矯正費用】 精密検査…………………………39,600円(税込) ワイヤー矯正……………………880,000円(税込) 月に一度の調整料…………………5,720円(税込) 後戻り防止のリテーナー…………33,000円(税込) 【ほてつ費用】 ジルコニアクラウン(ステイン)………… 126,500円×23本=2,909,500円(税込) 【インプラント費用】 オペ準備代、埋入、被せ物など………………476,300円(税込) ※顕微鏡(マイクロ)を使った根管治療代は含まず |
症例9 K・Yさん






| 年代 | 20代 |
|---|---|
| 性別 | 女性 |
| 治療期間 | 2年2ヶ月 |
| 矯正法 | 右上4番、右下5番抜歯のマウスピース矯正 |
| 費用 | 1日20時間以上の装着が必要のため、時間管理が必要です。 歯が動いていくことによる、痛みがあります。また、歯肉が退縮するリスクもあります。 週に一度、新しいマウスピースに交換していきました。替えてから1〜2日は痛みがあります。 精密検査………………………39,600円 インビザライン………………880,000円 2〜3ヶ月に1度の調整料………5,720円 後戻り防止のリテーナー ……33,000円 |
症例10 (ワイヤー矯正)
Before

After

Before

After

Before

After

Before

After

Before

After

費用精密検査………………………39,600円
ワイヤー矯正………………880,000円
1ヶ月に1度の調整料………5,720円
後戻り防止のリテーナー ……33,000円
| 年代 | 30代 |
|---|---|
| 性別 | 男性 |
| 治療期間 | 3y |
| お悩み | 歯並びがガタガタなので、むし歯や歯周病のリスクが心配 |
| 矯正法 | ワイヤー矯正 |
| 治療のリスクについて | 1日20時間以上の装着が必要のため、時間管理が必要です。 歯が動いていくことによる、痛みがあります。 また、歯肉が退縮するリスクもあります。 週に一度、新しいマウスピースに交換していきました。 替えてから1〜2日は痛みがあったそうですが、段々と慣れていったそうです。 |
矯正治療の料金
| シルバー・インビザライン | 880,000円 |
|---|---|
| ホワイト | 990,000円 |
※すべて税込
詳細
| 精密検査 | 39,600円 |
|---|---|
| ムーシールド | 77,000円 |
| 調整料 | 5,720円 |
| リテーナー | 33,000円 |
※すべて税込
裏側(リンガル)矯正 | 847,000円 |
|---|---|
| マウスピース型矯正 | 792,000円 |
| 床矯正 | 330,000円 |
| 調整料 | 5,500円/1回 |
※すべて税込
>薬機法において承認されていない医療機器について
※完成物薬機法対象外(薬機法未承認)の矯正歯科装置(医薬品)であり、承認医薬品を対象とする医薬品副作用被害救済制度の対象外となる場合があります。

