このようなお悩みはありませんか?
- 歯が抜けてしまい困っている
- 見た目がきれいで自然な歯にしたい方
- 入れ歯が合わない方
- 入れ歯の手入れが面倒な方
- 歯周病が悪化し、歯が抜けてしまった
- インプラントと入れ歯どちらがいいかわからない
インプラントとは

インプラント治療とは、歯を失ったときの治療法のひとつです。 歯がない部分の顎の骨に、チタン製のインプラント(人工歯根)を外科手術で埋め込み、人工歯をかぶせます。インプラントは顎の骨としっかり結合するため、自分の歯のように違和感なく噛むことができます。
当院のインプラント治療の特徴
CGFを応用した治療(骨が足りないと言われた方)

当院では、インプラント治療を希望するさまざまな患者さんに応えるために、骨再生治療を取り入れています。 骨再生治療は、血小板に含まれている成長因子 (細胞増殖因子) を活用して、骨の再生を誘導する方法です。血小板を人工的に濃縮させたCGF (完全自己血液由来フィブリンゲル) を活用することで、骨量が足りない場合でも骨造成・再生治療にて、治療できるケースもあります。 インプラント治療は顎の骨量が足りないと治療を断られることがありますが、当院では骨再生治療によって、骨量が少ない方でもインプラントができる可能性があります。 インプラント治療に興味のある方は、お気軽にご相談ください。
インプラントのメリット・デメリット
メリット
- 入れ歯のような違和感がなく、自分の歯と同じようにしっかり噛める
- ブリッジのように、周囲の健康な歯を削る必要がない
- 人工歯はセラミックを使用するため、自然できれいな仕上がりが期待できる
デメリット
- インプラントを埋め込む外科手術が必要になる
- ブリッジや入れ歯よりも、治療期間が長くなる
- 保険が適用できないため費用がかかる
インプラント治療の流れ
1問診・カウンセリング
インプラント治療について、患者さんのご希望や気になることなどを伺います。
2各種検査
CT、レントゲン、口腔内写真撮影など、インプラント治療に必要な検査をします。
3治療計画の説明
検査結果に基づいて治療計画を立て、患者さんに詳しい説明をします。
4インプラント手術
歯がない部分の顎の骨に、インプラントを埋め込む外科手術をします。
数カ月待ってインプラントと骨がしっかり結合したら、セラミックの人工歯を被せます。
インプラント手術は、1回法と2回法があり、患者さんの状態に合った方法を選びます。
5メンテナンス
インプラントを快適に長く使い続けるために、ご自宅でのケアと、歯科医院でのメンテナンスを定期的に行います。
費用
| インプラント | 1本 476,300円 ※別途外科処置が必要な場合あります |
|---|
※エールガイド+埋入手術+2次オペ+上部構造
手術費用
| エールガイド | 1個 58,300円 |
|---|---|
| インプラント埋入手術 | 1本 242,000円 |
上部構造体(被せ物)費用
| 2次オペ | 1本 11,000円~ |
|---|---|
| 上部構造(アバットメント+セラミッククラウン) | 1本 165,000円 |
インプラント義歯
| 入れ歯用ロケーターアタッチメント | 1装置 33,000円 |
|---|
※すべて税込
手術料(1回のオペにつき) | 33,000円 |
|---|---|
| インプラント体 | 220,000円 |
| 被せ物(上部構造)セラミック | 165,000円 |
| 骨再生治療 | 132,000円 |
※すべて税込
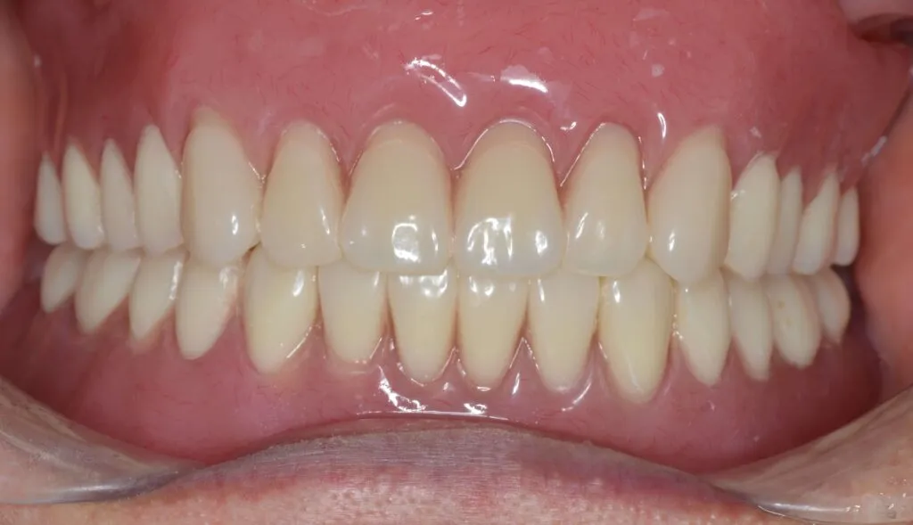
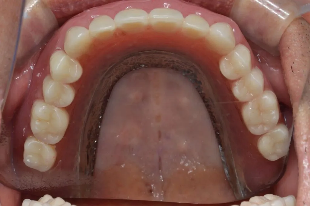
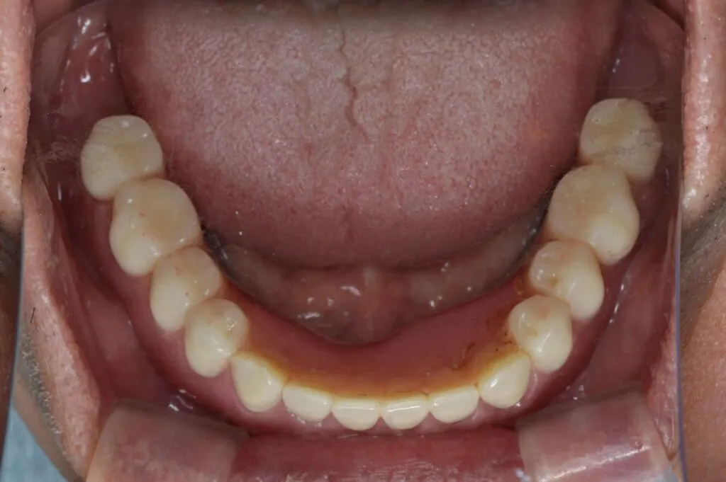
症例
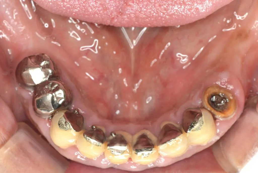
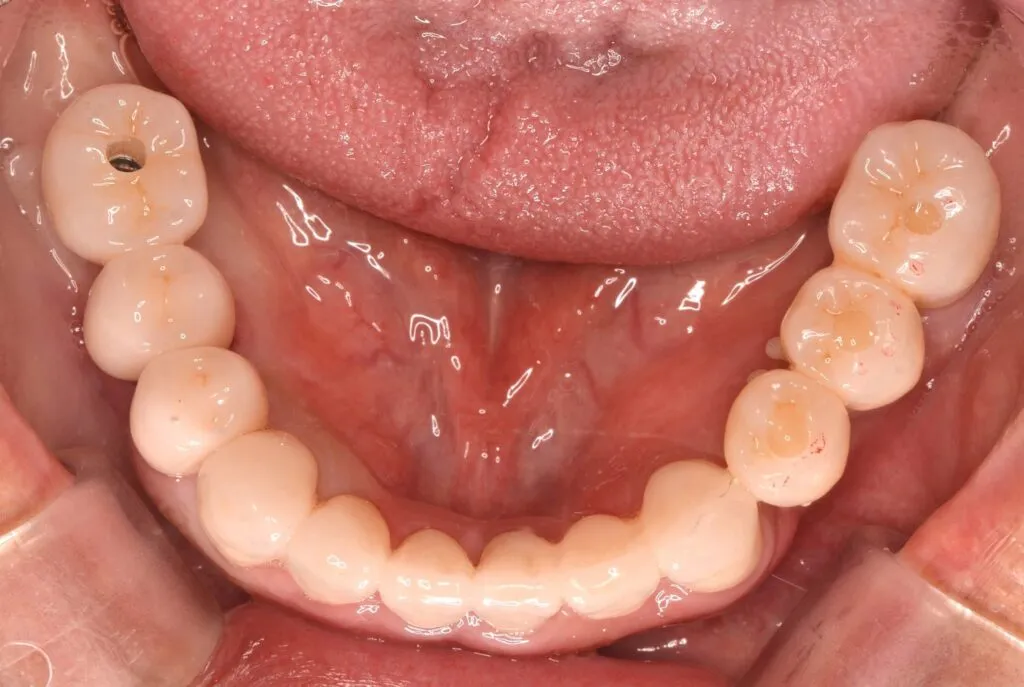
症例1(インプラント支持による、入れ歯を作った症例)





| 年代 | 60代 |
|---|---|
| 性別 | 男性 |
| 治療期間 | 8m |
| 主訴 | 入れ歯が合わない→インプラントで支える入れ歯へ |
| 治療のリスクについて | インプラント本体は材質的に考えると、半永久的なものと言えます。しかし、最終的な寿命は、患者様の口腔衛生管理によって、大きく影響を受けます。管理が不十分だと、インプラントの寿命が短くなるため、毎日のお手入れと、歯科衛生士によるメンテナンスが重要となります。 |
| 費用 | インプラント治療費(上下8本)……2,140,600円 インプラント用の入れ歯 ………………924,000円 合計………………………………………3,064,600円 |
※すべて税込
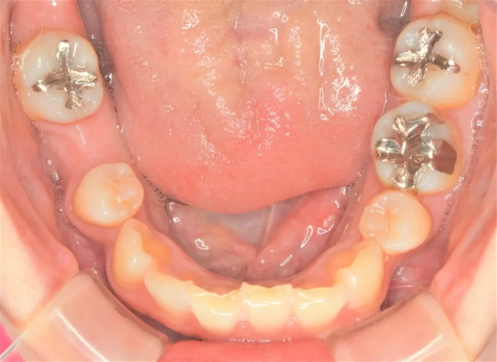
症例2(中間欠損へのインプラントへの埋入、銀歯をセラミックへ)


| 治療のリスクについて | インプラント本体は材質的に考えると、半永久的なものと言えます。しかし、最終的な寿命は、患者様の口腔衛生管理によって、大きく影響を受けます。管理が不十分だと、インプラントの寿命が短くなるため、毎日のお手入れと、歯科衛生士によるメンテナンスが重要となります。 |
|---|---|
| 費用 | インプラント手術準備………………………58,300円 インプラント埋入手術………………………242,000円 かぶせもの……………………………………176,000円 e-maxインレー………………………………60,500円×3本 |
※すべて税込
症例3(奥歯2本のインプラント)



| 治療のリスクについて | インプラント本体は材質的に考えると、半永久的なものと言えます。しかし、最終的な寿命は、患者様の口腔衛生管理によって、大きく影響を受けます。管理が不十分だと、インプラントの寿命が短くなるため、毎日のお手入れと、歯科衛生士によるメンテナンスが重要となります。 |
|---|---|
| 費用 | インプラント埋入準備………………………58,300円 インプラント埋入手術………………………242,000円×2本 かぶせもの……………………………………176,000円×2本 |
※すべて税込
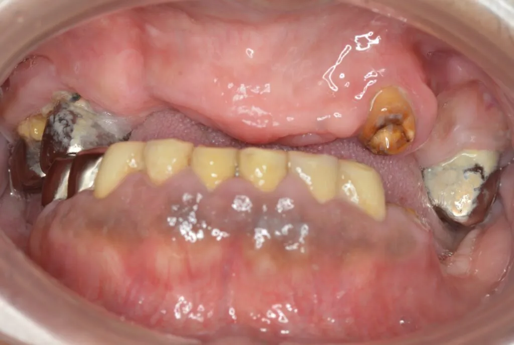
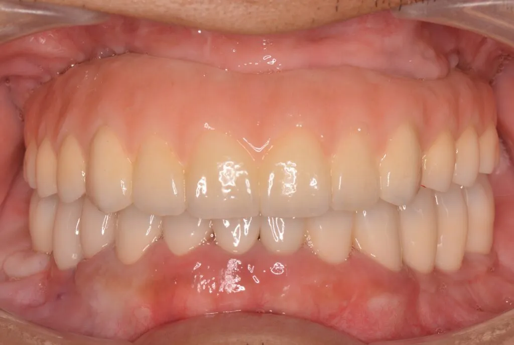
症例4(インプラント)






| 性別 | 男性 |
|---|---|
| 治療期間 | 4y |
| 主訴 | 噛めるようになりたい。上の歯は全て抜歯。下の歯は2本抜歯。 |
| 治療のリスクについて | 傷口を触ると血が止まりにくくなる。 激しい運動は不可。 抜歯をするまでは歯ブラシを当てない、歯磨き粉の使用は避ける。 |
| 費用 | (上顎) インプラント……………418,000円×7本=2,926,000円 ポンティック……………110,000円×8本=880,000円 (下顎) インプラント……………41,8000円×4本=1,672,000円 ジルコニアクラウン……126,500円×6本=759,000円 e-maxクラウン…………104,500円×2本=209,000円 (総額)……………………6,446,000円 ※マイクロ根管治療、手術代、仮歯代は含まず。 |
※すべて税込

