このような方におすすめです
- 金属の詰め物、被せ物を白くしたい方
- 歯を白くしたい方
- 身体に安全な材料を使いたい方
- 見た目がきれいで長持ちする治療がしたい方
審美治療とは

審美治療とは歯科治療の一種で、機能を回復する治療と同時に、口元の見た目の美しさも求める治療法です。 保険適用では対応できない質の高い治療となり、美しさ、機能性に加え、健康面でも大きなメリットがあります。
当院の審美治療の特徴

当院では見た目の美しさだけでなく、「噛む」「話す」などの機能面も重視し、ナチュラルで健康的な口元をめざす治療を行っています。 金属の詰め物や被せ物を天然歯に近い素材にしたい、歯の隙間が気になるなど、さまざまなご相談に応じます。 歯科技工士が常駐しているため、補綴物の形や色などの調整を迅速かつ緻密にできることも、当院の強みです。
審美治療のメリット・デメリット
メリット
- 口元を美しく見せることができる
- 噛む、話すなど機能面に優れている
- さまざまな治療法が選べる
- 身体にやさしく、長持ちする素材を使える
- 汚れが付きにくいため、むし歯のリスクが減る
- 金属アレルギーの心配がない
デメリット
- 保険適用外のため治療費がかかる
- 治療法によっては時間がかかる
ホワイトニング
歯は飲食による生活習慣などで少しずつ黄ばんでしまいます。 歯を削らずに、白くすることをホワイトニングといいます。 当院では見た目の美しさはもちろん、ナチュラルで健康的な口元をめざす治療を行っています。
ホワイトニングの特徴
- 歯が白くなることで、見た目に自信が持てるようになる
- 健康な歯を削ることがない
ホワイトニングの注意点
- ホワイトニング効果は永久ではないため、コーヒーやお茶、タバコといった食べ物、飲み物、嗜好(しこう)品によって再着色してしまうことがある
- 元の歯の色や質といった影響で、期待した効果が得られないこともある
審美治療の流れ
1ご予約
お電話にてご予約ください。048-723-0000
2カウンセリング
現在の症状や、治療に関するご希望などを伺います。
気になることがあれば、遠慮せずにご相談ください。
3診察と検査
お口の状態を確認し、さまざまな検査をします。
(レントゲン撮影、唾液検査、口腔内写真撮影など)
検査の結果を丁寧に説明いたします。
4治療
検査の結果をもとに治療計画を立て、患者さんの合意の上で治療を進めていきます。
5再評価
治療後に再度検査(レントゲン)を行い、治療の結果を確認します。
6メンテナンス
再発を防いで歯の健康を保つために、定期的に検診とクリーニングを行います。
症例
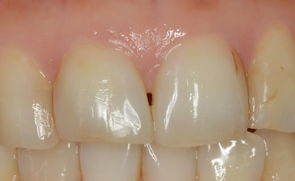
症例1 K様(ラミネートベニア)
Before

After

| 年代 | 30代 |
|---|---|
| 性別 | 女性 |
| 治療箇所 | 上の前歯4本のラミネートベニア |
| 治療のリスクについて | ラミネートベニアは接着剤を使用して歯にチップを貼り付けるため、天然歯同様に割れたり欠けたりするようなリスクがあります。強い歯ぎしりや食いしばり癖があると割れたり剝がれたりする可能性が高まるので他の治療法をお勧めする場合もございます。 |
| 費用 | 1本…………110,000円 合計…………440,000円 |
※すべて税込
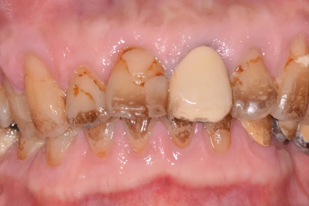
症例2 F様(セラミック)
Before

After



| 年代 | 60代 |
|---|---|
| 性別 | 女性 |
| 治療期間 | インプラント/9m e-maxインレー/1m |
| 治療箇所 | ・下の左右奥歯は保存が難しいため抜歯。 右上の奥歯にインプラントを入れることで、上の歯12本、下の歯12本の歯列としました。 ・銀歯を除去し、セラミックへ。 |
| 治療のリスクについて | インプラント本体は材質的に考えると、半永久的なものと言えます。しかし、最終的な寿命は、患者様の口腔衛生管理によって、大きく影響を受けます。管理が不十分だと、インプラントの寿命が短くなるため、毎日のお手入れと、歯科衛生士によるメンテナンスが重要となります。強い歯ぎしりや食いしばりがあると割れる可能性があります。 |
| 費用 | セラミッククラウン10本 ¥1,276,000 セラミックインレー2本 ¥121,000 合計 ¥1,397,000 (根管治療の費用、左上奥歯のインプラントの費用は含まず) |
| コメント | 費用はかかりましたが、大変満足して頂きました。 見た目の問題だけでなく、長持ちする歯になったことでの安心感があると、おっしゃっていました。 治療後は、定期的にクリーニングを行なっています。 |
※すべて税込
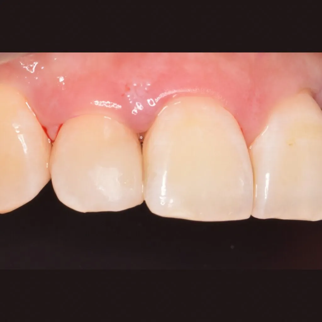
症例3 (e-maxクラウン)



| 年代 | 60代 |
|---|---|
| 性別 | 男性 |
| 治療箇所 | |
| 治療のリスクについて | 削る厚みが多いと、治療後知覚過敏で歯がしみる事があります。天然歯同様に、欠けることがあります。機能上問題ない場合は、研磨にて対応させていただきます。 |
| 費用 | 1本…………104,500円 ×7本 合計…………747,500円 |
※すべて税込
症例4 (ダイレクトボンディング)
Before

After

| 治療のリスクについて | 天然歯同様に欠けることがあります。機能上問題ない場合は、研磨にて対応させていただきます。 |
|---|---|
| 費用 | 33,000円 |
※すべて税込
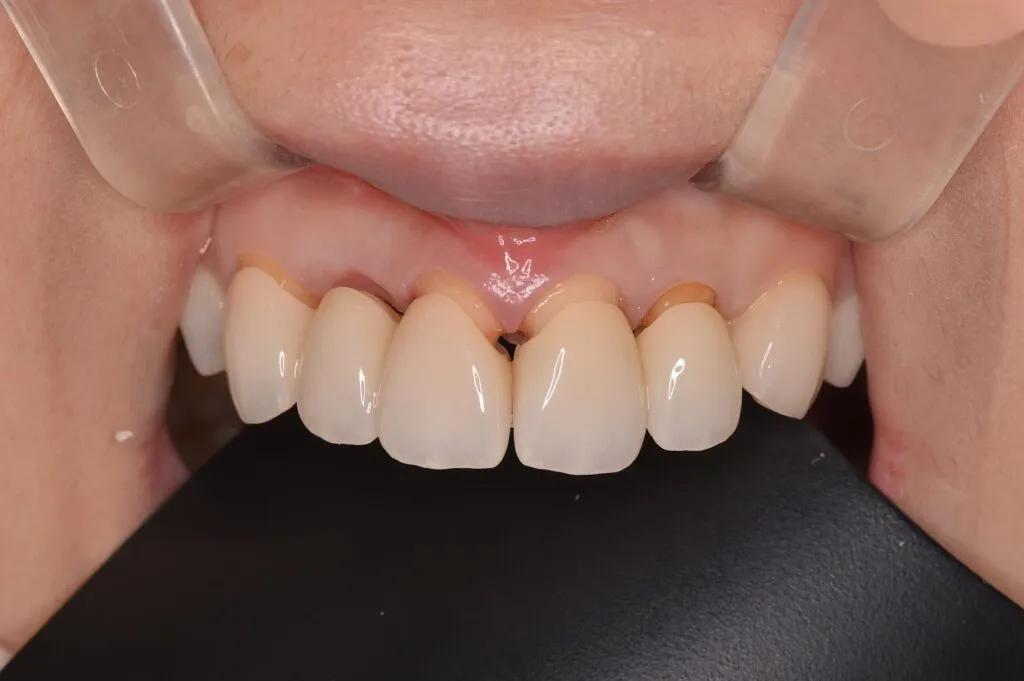
症例5 (ジルコニアステイン)



| 年代 | 30代 |
|---|---|
| 性別 | 女性 |
| 主訴 | 見た目が気になる。右上の二番目の歯が腫れることがある |
| 治療期間 | 1年 |
| 治療法 | 右上2は保存不可のため抜歯 |
| リスク | 天然歯同様、割れたり欠けたりすることがあります。 |
| 費用 | ジルコニアステイン 126,500円×5本=632,500円 |
※すべて税込
費用
被せ物
| ハイブリッドセラミックス・フルジルコニアB | 1本 71,500円 |
|---|---|
| レーザーボンド | 1本 71,500円 |
| e-max | 1本 104,500円 |
| ジルコニアクラウン(ステイン) | 1本 126,500円 |
| メタルボンド | 1本 137,500円 |
| ジルコボンド | 1本 137,500円 |
| ゴールド | 1本 137,500円 |
詰め物
| ジルコニアB・ハイブリッドセラミックス | 1本 38,500円 |
|---|---|
| e-max | 1本 60,500円 |
| ゴールドインレー | 1本 104,500円 |
ラミネートべニア
| ラミネートべニア | 1本 110,000円 |
|---|
| ダイレクトボンディング(自費の虫歯治療) | 33,000円 |
|---|---|
| 断髄 | 44,000円 |
※すべて税込
セラミック(インレー) | 55,000円〜88,000円 |
|---|---|
| セラミック(クラウン) | 66,000円〜110,000円 |
| ホワイトニング | 55,000円 |
※すべて税込

